Ortodoncia en Puerto Vallarta:
Más que Dientes Rectos, una Sonrisa Saludable
En Bienstar Dental, creemos que una sonrisa alineada es una sonrisa saludable. Descubre cómo nuestros modernos tratamientos pueden transformar tu salud bucal y tu confianza.
¿Qué es la Ortodoncia y por qué es tan Importante?
"No es solo estética, es salud y funcionalidad para toda la vida."
La ortodoncia es la especialidad que corrige la malposición de los dientes y la mordida. Una sonrisa alineada es fundamental para tu bienestar general.
Mejora la Higiene Dental
Los dientes rectos son más fáciles de limpiar, reduciendo drásticamente el riesgo de caries y enfermedades de las encías.
Función Masticatoria Óptima
Muerde y mastica mejor, mejorando tu digestión y evitando el desgaste prematuro de tus dientes.
Alivia Problemas de Mandíbula
Corregir la mordida puede eliminar dolores de cabeza y tensión en el cuello relacionados con la articulación ATM.
Explosión de Autoestima
Sentirte orgulloso de tu sonrisa transforma tu seguridad en la vida social y profesional.
Resultados Reales, Sonrisas Reales
En Bienstar Dental, nos preocupamos profundamente por cada paciente y ofrecemos una atención totalmente personalizada. Entendemos que iniciar un tratamiento es una decisión importante, por eso queremos que veas con tus propios ojos lo que podemos lograr juntos. Revisa nuestros casos de éxito y visualiza tu nueva sonrisa.
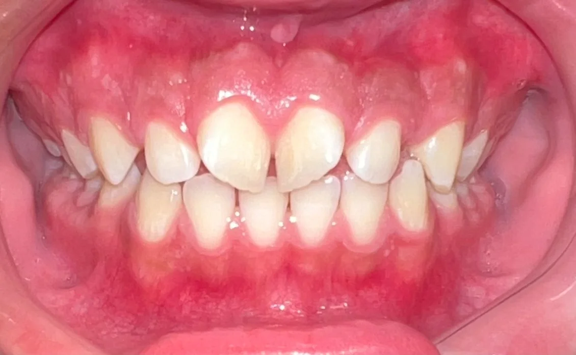
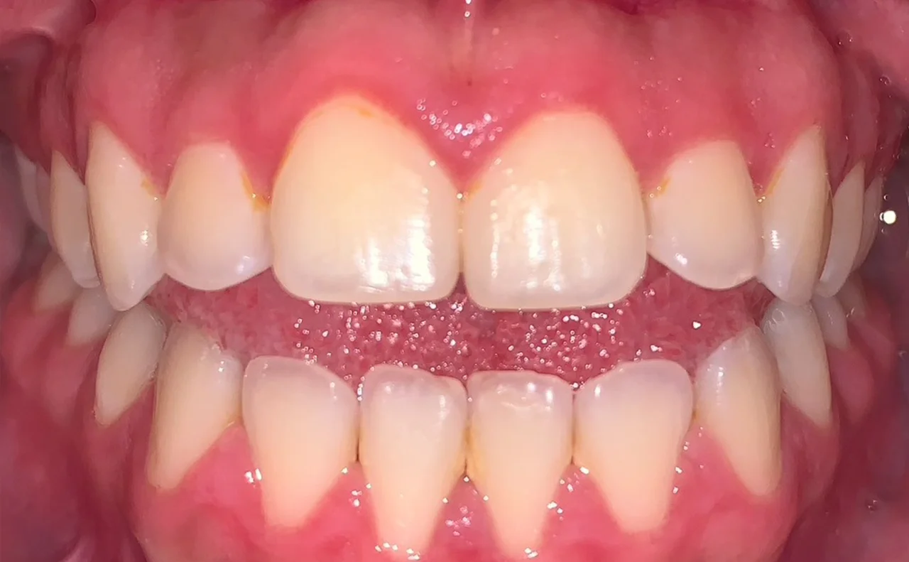
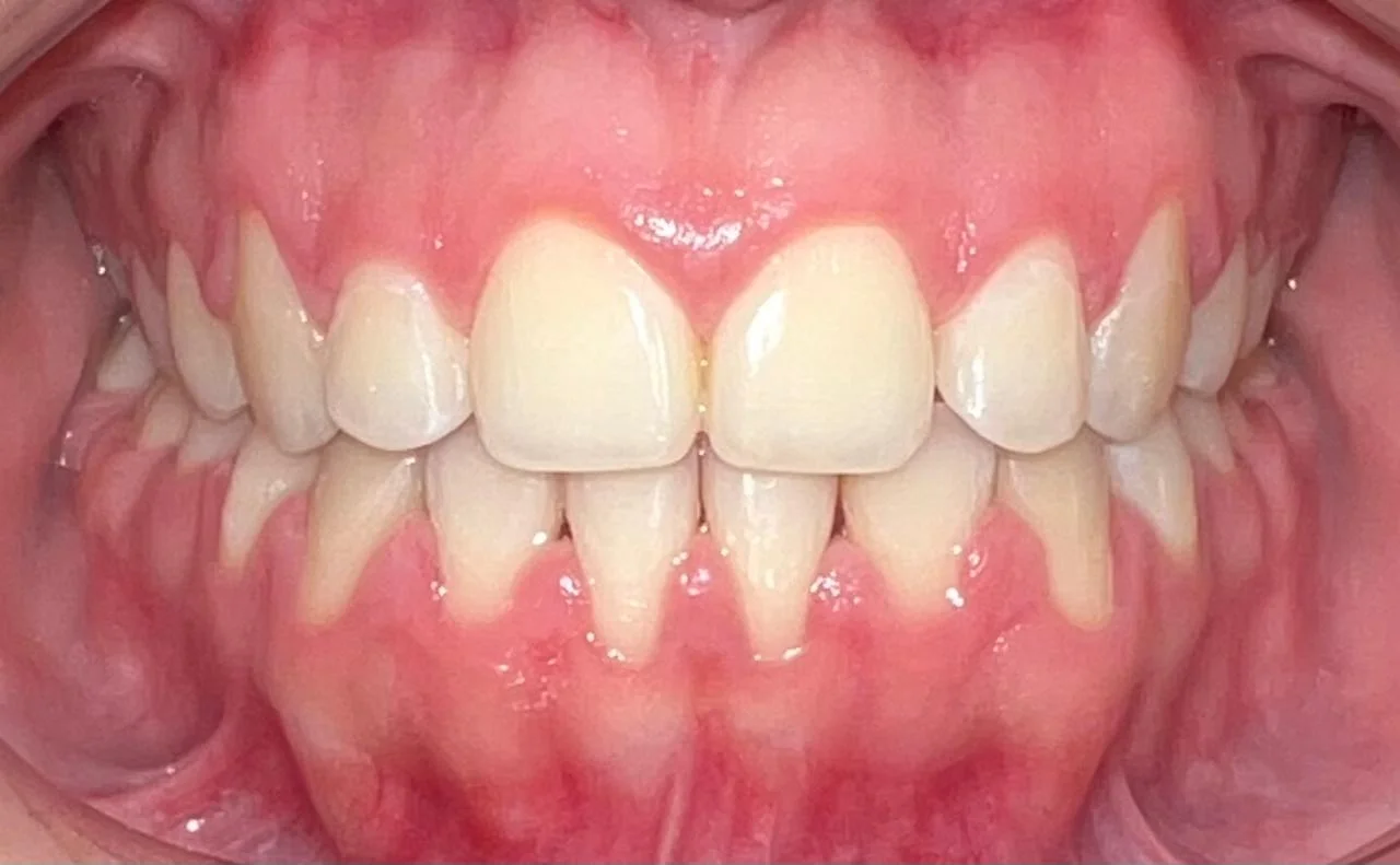
Casos de exito – Antes y Despues
Comienzo

6 meses de tratamiento

Comienzo

Tratamiento concluido

¿Para quién es la Ortodoncia?
Niños y Adolescentes
La edad ideal para la primera valoración es a los 7 años. Detectar problemas a tiempo permite realizar tratamientos "interceptivos" que guían el crecimiento, haciendo todo más sencillo en el futuro.
Adultos
¡Nunca es tarde! Gracias a la tecnología moderna, hoy los tratamientos son discretos y rápidos. Si siempre has querido mejorar tu sonrisa, este es tu momento.
Nuestras Soluciones para Ti
Adaptamos el tratamiento a tu estilo de vida, no al revés. Elige la opción que mejor vaya contigo.
Brackets Metálicos
La opción clásica, probada y más económica.
- Alta eficacia
- Súper resistentes
- Costo accesible
Brackets Estéticos
RecomendadoCerámica o Zafiro. Se mimetizan con tu diente.
- Muy discretos
- No se manchan
- Misma eficacia
Ortodoncia Invisible
Alineadores transparentes removibles.
- Imperceptibles
- Removibles para comer
- Sin alambres

Tecnología de punta para tu sonrisa
Tu Camino Hacia una Nueva Sonrisa
Cita de Valoración
Realizamos fotos, radiografías y escaneo digital para crear tu plan 100% personalizado.
Inicio del Cambio
Colocamos tus brackets o te entregamos tus primeros alineadores. ¡Empieza la magia!
Ajustes y Progreso
Citas breves cada 4 semanas para ajustar y asegurar que tus dientes se mueven perfecto.
¡Nueva Sonrisa!
Retiramos la aparatología. Es momento de celebrar y presumir tu nueva imagen.

¡Queremos Verte Sonreír!
En Bienstar Dental y nuestro equipo en Puerto Vallarta están listos para brindarte la atención que mereces. Agendar tu cita de valoración es más fácil de lo que piensas.
Agendar